Tag: Dentes
Saúde Bucal: o primeiro passo para o bem-estar corporal
A saúde bucal é um dos pilares fundamentais para o bem-estar do corpo como um todo. Muitas vezes negligenciada, a higiene...
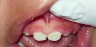
Congonhas: mãe pede ajuda para tratar filho, de quase 2 anos,...
Uma mãe, moradora do bairro São Luiz, em Congonhas (MG), está desesperada para ver seu filho recuperado de uma má-formação dos...









